Wotton Dental & Implant Clinic
Wotton Dental & Implant Clinic

Implant benefits?

Teeth may be lost due to gum disease, injury such as a traumatic accident, previous surgery or failure of old dental treatment. If teeth are lost, implant placement can help to arrest the inevitable gum and bone loss that occurs due to disuse of the residual jaw bone.

 

Missing back teeth often cause loss of support for the facial muscles, giving a ‘sagging’ effect. Back teeth can be replaced with implants thereby improving facial support to provide a more youthful appearance as well as making eating your favourite foods a pleasure again.

Loss of the jaw bone can make people look older than they really are. Implants will help prevent these changes. If single teeth or group of teeth are missing, implants can help replace these missing teeth without having to prepare and grind down the neighbouring teeth thereby preserving natural teeth and maintaining their life.

Patients who wear removable partial dentures can have these replaced by fixed teeth using dental implants. This enables a better quality of life, greater confidence to smile and speak, as well as an improved ability to eat a much wider range of foods and to clean your implants as you would your natural teeth .Say goodbye to messy dental adhesives! It’s like having your natural teeth back again!

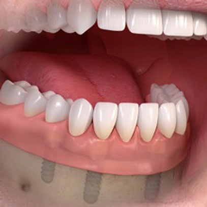
Patients with all their teeth missing can also benefit from dental implants. Implants can be used to support or to replace dentures altogether. If dentures are uncomfortable because they are bulky, move around, click or are painful, then implants can be used to support them and hence improve your chewing and so, aid your digestion as well as give you greater self-confidence. This is a very cost-effective solution to an age-old problem of loose dentures.

Of course, using implants it is possible to replace all the teeth and get rid of dentures altogether. This depends on availability of bone for implant placement. In cases of deficient bone, we will need to rebuild the lost tissues. Various innovative surgical techniques are available for dealing with even the most complex problems.

 

Some people who cannot wear dentures because they gag, find the denture too bulky in their mouth or indeed dislike the thought of anything foreign in their mouth are ideal candidates for implant therapy provided they satisfy the relevant criteria. 

 

Contact us:

 

01453 844428 

 

smile@wotdental.com

 

online contact form

Find us:

 

43-45 Long Street

Wotton under edge

Gloucestershire

GL12 7BX

General Dental Council

       www.gdc.org

Print | Sitemap
Copyright © 2025 Wotton Dental&Implant Clinic. Site last updated: September 2025